
Оценка всего челюстно-лицевого комплекса (лицевого скелета) включая верхнюю и нижнюю челюсти, ВНЧС, дыхательные пути, остиомеатальный комплекс и придаточные пазухи носа, профиль мягких тканей.

Оценка всего челюстно-лицевого комплекса (лицевого скелета) включая верхнюю и нижнюю челюсти, ВНЧС, дыхательные пути, остиомеатальный комплекс и придаточные пазухи носа, профиль мягких тканей.

Оценка нижней, верхней челюсти, области ВНЧС, верхнечелюстных пазух и ротоглотки.

Планирование лечения с захватом нижней части гайморовых (верхнечелюстных) пазух, области третьих моляров - идеально для любых амбулаторных вмешательств.

Планирование имплантации, хирургических шаблонов и оценка ретенированных клыков.

Высокоточная эндодонтическая оценка, планирование одиночных имплантатов.

Анализ всех придаточных пазух носа.

Двухмерный панорамный снимок зубов.

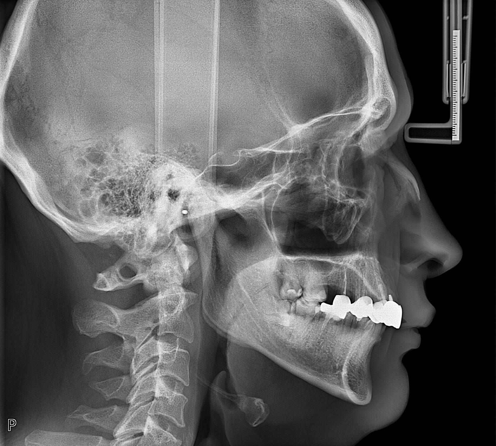
Двухмерный снимок черепа, позволяющий провести анализ соотношения челюстей, наклон зубов и выявить аномалии прикуса.
Сроки готовности цефалометрического анализа до 5 дней. Срочные — на следующий день.

Набор скриншотов без заключения врача-ортодонта.

Набор скриншотов и заключение врача-ортодонта.

Набор скриншотов и заключение врача-ортодонта + описание ВНЧС.

Набор скриншотов и заключение врача-ортодонта + описание ВНЧС + описание всех патологических изменений зубочелюстной системы.

Расчет по методике 3D Центра (Kim, Jabarak, McNamara, Ricketts, Sassouni). Интерпретация результата.
Сроки готовности описаний до 3 дней. Срочные — на следующий день.

Скриншот каждого корня (канала). Подробное описание. Коронка, канально-корневая система, периапикальные ткани, пародонтальный статус. Скриншоты ВНЧС с измерениями. Описание положение головок, структуры, формы, размеров. Описание всех измененных структур ЧЛО (зубы, пазухи, кость).

Скриншот каждого корня (канала). Подробное описание. Коронка, канально-корневая система, периапикальные ткани, пародонтальный статус. Скриншоты ВНЧС с измерениями. Описание положение головок, структуры, формы, размеров.

Скриншот каждого корня (канала). Подробное описание. Коронка, канально-корневая система, периапикальные ткани, пародонтальный статус.

Скриншоты интересующей зоны\образования\группы зубов нижней или верхней дуги и ее описание.

Скриншоты интересующей зоны\образования\группы зубов (до 5 зубов) и ее описание.

Скриншоты параназальных синусов. Описание носовой полости, максиллярных, сфеноидального, фронтального (опционально – если в зоне сканирования) синусов, этмоидальноголабиринта. При наличии одонтогенного фактора – описание причинного зуба.

Скриншоты ВНЧС с измерениями. Описание положение головок, структуры, формы, размеров.

Скриншоты наружного слухового прохода, сосцевидного отростка, полости среднего уха. Описание наружного слухового прохода, сосцевидного отростка, среднего уха (слуховые косточки, aditusadantrum). Положение луковицы яремной вены, сигмовидного синуса.
Copyright 2026 © 3Д-ЦЕНТР. All Rights Reserved.
The content and images used on this site are copyright protected and copyrights vests with the respective owners. The usage of the content and images on this website is intended to promote the works and no endorsement of the artist shall be implied. Unauthorized use is prohibited and punishable by law.
Официальный интернет-портал правой информации
Официальный сайт Министерства здравоохранения Российской Федерации
ООО «3Д-ЦЕНТР» ИНН 4205429535 ОГРН 1254200007643
650065, Кемеровская область - Кузбасс, г. о. Кемеровский, г. Кемерово, пр-кт Октябрьский, д. 79, кв. 126